Premier Services at Premier Dental Implants & Prosthodontics
Maintaining oral health includes good home care and regular visits to our office for preventive care, which includes oral examinations and cleanings. Comprehensive examinations of the mouth, teeth, surrounding gum tissues, and supporting bone structures help to identify any areas of concern and help with the early detection and treatment of problematic conditions.
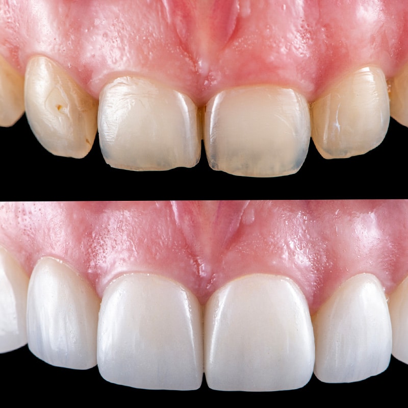
Even with excellent care, however, teeth and gums can be susceptible to disease, infection, cavities, cracks, or other forms of damage. Restorative dentistry helps preserve natural teeth and helps maintain oral and overall health even when the health of one or more teeth or the surrounding areas is compromised. The goal of restorative dentistry is to restore the function and integrity of the tooth structure, function, and health while maintaining a natural appearance.
Our office also provides cosmetic dentistry services and procedures. This means that we not only pay attention to the health and function of your teeth, but we also pay close attention to aesthetics. We want you to maintain great oral health but we also want you to have a beautiful smile and the confidence to smile often!











